흉부 엑스레이상 폐 결절 및 종괴, 기흉, 흉막삼출 등 주요 폐 질환 정확도 97%로 검출
의료 인공지능 기업 루닛의 폐 질환 진단 보조 AI 소프트웨어 '루닛 인사이트 CXR 3'가 19일 식품의약품안전처로부터 국내 판매 허가를 받았다고 26일 밝혔다. 루닛이 폐 질환 검출 AI 제품으로 식약처 허가를 취득한 세 번째 사례다.
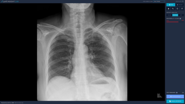
이번 허가를 받은 '루닛 인사이트 CXR 3'은 2018년 허가 받은 '루닛 인사이트 CXR', 2019년 허가 받은 '루닛 인사이트 CXR 2'의 업그레이드 버전이다. 루닛의 독자적인 인공지능 기술을 바탕으로 환자의 흉부 엑스레이 사진을 분석해 폐 결절 및 종괴, 기흉, 흉막삼출, 무기폐, 기복증, 폐 경화 등의 주요 폐 비정상 소견을 97%의 정확도로 검출해낸다.

루닛 인사이트 CXR 3에는 9가지 종류의 병변을 찾을 수 있는 기술이 탑재돼 있다. 폐 결절, 폐 경화, 기흉 등을 동시에 검출할 수 있어, 흉부 엑스레이에서 주요 폐 질환을 빠르고 정확하게 판독하는 데 도움이 될 것으로 기대된다. 다양한 폐 질환을 보다 빠르고 정확하게 진단하기 위해 지속적으로 제품의 알고리즘 성능 발전이 필요한 이유다.
서범석 루닛 대표는 "앞서 인허가를 받은 루닛 인사이트 CXR 시리즈를 업그레이드한 '루닛 인사이트 CXR 3'를 선보일 수 있어 기쁘다"며 "흉부 엑스레이 사진 한 장만으로도 의료진이 다양한 폐 질환을 판독할 수 있도록 루닛 연구팀은 지속적으로 알고리즘을 업데이트하고 있다. 현재 국내 주요 종합 및 대형병원들에서 사용 중이며 앞으로도 폐 질환 검출에 가장 최적화된 AI 소프트웨어를 개발할 수 있도록 끊임없는 연구와 개발을 진행할 것"이라고 포부를 밝혔다.
현재 서울대학교병원을 포함, 국내외 종합 및 대형병원을 비롯한 150여 곳 이상의 헬스케어 기관에서 사용되고 있는 루닛 인사이트 CXR 제품은 지난 9월 폐 질환 진단 보조 AI로는 최초로 식약처 혁신의료기기에 선정되었다. 2020년에만 국내에서 140만 장에 가까운 흉부 엑스레이를 분석했으며, 연말까지 총 200만 장이 누적 분석될 것으로 전망된다. 이는 국내 연간 흉부 엑스레이 촬영 건의 약 5%에 달하는 규모다.
국내 식약처 허가뿐 아니라 유럽 CE 인증을 비롯한 브라질, 호주, 뉴질랜드, 인도네시아, 태국 등에서 인허가를 받아 해외 시장 진출도 확대하고 있다. 루닛 인사이트 CXR에 대한 보다 자세한 정보는 루닛의 데모 웹페이지에서 확인할 수 있다.

